
Las células son los elementos básicos que conforman el organismo, ingieren los nutrientes y los convierten en energía, y realizan funciones especializadas. Contienen el código hereditario del organismo que controla las sustancias sintetizadas por las células y les permite realizar copias de sí mismas.
Sus dos partes más importantes son el núcleo y el citoplasma, que están separados entre sí por una membrana nuclear.
Sustancias que componen la célula se conocen colectivamente como protoplasma.

- Agua: (70-85%)
- Iones (potasio, magnesio, fosfato, sulfato, bicarbonato)
- Proteínas (10-20%)
- Lípidos (2%)
- Hidratos de carbono(1%)
Estructura física de la célula:
La célula contiene estructuras físicas muy organizadas que se denominan orgánulos intracelulares.


Membrana celular: Es una estructura elástica, fina y flexible que tiene un grosor de tan solo 7,5 a 10 nm. una composición aproximada de un 55% de proteínas, un 25% de fosfolípidos, un 13% de colesterol, un 4% de otros lípidos y un 3% de hidratos de carbono, La barrera lipídica de la membrana celular impide la penetración de sustancias hidrosolubles.

Proteínas integrales y periféricas: Estas proteínas de membrana son principalmente glucoproteínas, proteínas integrales que protruyen por toda la membrana y proteínas periféricas que se unen solo a una superficie de la membrana y que no penetran en todo su espesor, Muchas de las proteínas integrales componen canales estructurales (o poros) a través de los cuales las moléculas de agua y las sustancias hidrosolubles, especialmente los iones, pueden difundir entre los líquidos extracelular e intracelular.
Hidratos de carbono de la membrana: «glucocáliz» celular

Los hidratos de carbono de la membrana se presentan casi invariablemente combinados con proteínas o lípidos enforma de glucoproteínas o glucolípidos. Toda la superficie externa de la célula a menudo contiene un recubrimiento débil de hidratos de carbono que se conoce como glucocáliz.
Citoplasma y sus orgánulos: El citoplasma está lleno de partículas diminutas y grandes y orgánulos dispersos……
| ribosomas y retículo endoplásmico rugoso | retículo endoplásmico liso o agranular |
Unidas a la superficie exterior de muchas partes del retículo endoplásmico encontramos una gran cantidad de partículas granulares diminutas que se conocen como ribosomas. Los ribosomas están formados por una mezcla de ARN y proteínas y su función consiste en sintetizar nuevas moléculas proteicas en la célula. | Este retículo agranular actúa en la síntesis de sustancias lipídicas y en otros procesos de las células que son promovidos por las enzimas intrarreticulares |
Aparato de Golgi:

Está íntimamente relacionado con el retículo endoplásmico. Tiene unas membranas similares a las del retículo endoplásmico a granular y está formado habitualmente por cuatro o más capas apiladas de vesículas cerradas, finas y planas, que se alinean cerca de uno de los lados del núcleo.
Lisosomas:
Son orgánulos vesiculares que se forman por la rotura del aparato de Golgi y después se dispersan por todo el citoplasma. Los lisosomas constituyen el aparato digestivo intracelular que permite que la célula digiera:

- Estructuras dañadas
- Partículas del alimento
- Sustancias no deseadas como bacterias.
- El lisosoma es muy distinto en los diferentes tipos celulares, pero habitualmente tiene un diámetro de 250 a 750 nm.
Peroxisomas:
Se cree que están formados por autorreplicación (o, quizás, protruyendo desde el retículo endoplásmico liso) en lugar de proceder del aparato de Golgi. Contienen oxidasas en lugar de hidrolasas, El peróxido de hidrógeno es una sustancia muy oxidante que actúa junto con una catalasa, otra enzima oxidasa que se encuentra en grandes cantidades en los peroxisomas para oxidar muchas sustancias que, de lo contrario, serían venenosas para la célula.


Vesículas secretoras: Casi todas las sustancias secretoras se forman en el sistema retículo endoplásmico-aparato de Golgi y después se liberan desde el aparato de Golgi hacia el citoplasma en forma de vesículas de almacenamiento que se conocen como vesículas secretoras o gránulos secretores.
Estas vesículas almacenan proenzimas proteicas (enzimas que aún no están activadas) que se segregan más tarde a través de la membrana celular hacia el conducto pancreático, es decir, hacia el duodeno, donde se activan y realizan sus funciones digestivas sobre el alimento en el aparato digestivo.

Mitocondrias: Se conocen como los «centros neurálgicos» de la célula. Sin ellas, las células no serían capaces de extraer energía suficiente de los nutrientes y, en esencia, cesarían todas las funciones celulares. Las mitocondrias se encuentran en todas las zonas del citoplasma de la célula, pero su número total en cada célula varía de menos de cien hasta varios miles, dependiendo de la cantidad de energía que requiere la célula. Algunas mitocondrias miden solo algunos cientos de nanómetros de diámetro y adoptan forma globular, mientras que otras son alargadas, miden hasta 1 μm de diámetro y 7 μm de longitud.
Citoesqueleto celular:
El citoesqueleto celular es una red de proteínas fibrilares organizadas habitualmente en filamentos o túbulos que se originan como moléculas proteicas precursoras sintetizadas por los ribosomas en el citoplasma, para formar un soporte elástico para la membrana celular. Todas las células usan un tipo especial de filamento rígido formado por polímeros de tubulina para construir estructuras tubulares fuertes, los microtúbulos.

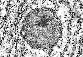
Núcleo:
El núcleo, que es el centro de control de la célula, envía mensajes a esta para que crezca y madure, se replique o muera.Contiene grandes cantidades de ADN, que comprende los genes, que son los que determinan las características de las proteínas celulares, como las proteínas estructurales, y también las enzimas intracelulares que controlan las actividades citoplásmicas y nucleares. Los genes también controlan y promueven la reproducción de la célula. Los genes se reproducen primero para crear dos juegos idénticos de genes y después se divide la célula utilizando un proceso especial, que se conoce como mitosis, para formar dos células hijas, cada una de las cuales recibe uno de los dos juegos de genes de ADN.

Comparación entre la célula animal y las formas de vida precelulares:
La célula es un organismo complicado que ha necesitado muchos cientos de millones de años para desarrollarse después de que apareciera la primera forma de vida, un organismo similar a los virus de nuestros días, sobre la tierra.
Tamaños relativos de:
1) el virus más pequeño conocido;
2) un virus grande;
3) una rickettsia;
4) una bacteria,
5) una célula nucleada, donde se ve que la célula tiene un diámetro en torno a 1.000 veces mayor que el del virus más pequeño y, por tanto, un volumen en torno a 1.000 millones de veces mayor que el del virus más pequeño.
pinocitosis se produce continuamente en las membranas celulares de la mayoría de las células, pero es especialmente rápida en algunas de ellas. Por ejemplo, es muy rápida en los macrófagos, donde aproximadamente el 3% del total de su membrana es engullido en forma de vesículas cada minuto. las vesículas de pinocitosis son tan pequeñas, habitualmente de solo 100 a 200 nm de diámetro, que la mayoría de ellas solo se pueden ver con un microscopio electrónico.
Fagocitosis:

Solo algunas células tienen la capacidad de realizar la fagocitosis, principalmente los macrófagos tisulares y algunos leucocitos sanguíneos. La fagocitosis se inicia cuando una partícula, como una bacteria, una célula muerta o un resto de tejido, se une a los receptores de la superficie de los fagocitos.
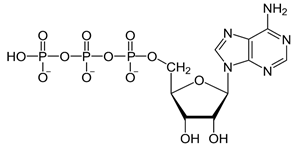
Características funcionales del ATP
El ATP es un nucleótido compuesto por:
1) la base nitrogenada adenina
2) el azúcar pentosa ribosa
3) tres radicales fosfato
La energía liberada se usa para dar energía a muchas de las demás funciones celulares, como la síntesis de sustancias y la contracción muscular. El ATP se conoce como la moneda energética de la célula porque se puede gastar y recomponer continuamente, con un ciclo metabólico de solo unos minutos. La energía del ATP se usa para promover tres categorías principales de funciones celulares.
- Transporte de sustancias a través de múltiples membranas en la célula;
- Síntesis de compuestos químicos a través de la célula
- Trabajo mecánico.

Movimiento amebiano:

El movimiento amebiano es el movimiento de toda la célula en relación con su entorno, como el movimiento de los leucocitos a través de los tejidos. El movimiento amebiano comienza con la protrusión de un seudópodo desde un extremo de la célula. Este seudópodo se proyecta lejos de la célula y se asegura parcialmente en una zona nueva.
Cilios:
El movimiento ciliar, es un movimiento a modo de látigo de los cilios que se encuentran en la superficie de las células. Este movimiento existe principalmente solo en dos lugares del cuerpo humano: en la superficie de las vías aéreas y en la superficie interna de las trompas uterinas (trompas de Falopio) del aparato reproductor.

El movimiento de látigo de los cilios de la cavidad nasal y las vías aéreas bajas hace que una capa de moco se desplace a una velocidad aproximada de 1 cm/min hacia la faringe, con lo que el moco y las partículas que han quedado atrapadas en el moco de estos conductos se están limpiando continuamente. El movimiento del cilio, que se desplaza hacia delante con un movimiento rápido, como un golpe de látigo, con una frecuencia de 10 a 20 veces por segundo, doblándose bruscamente en el punto en el que se proyecta desde la superficie de la célula.
El flagelo de un espermatozoide es similar a un cilio; tiene el mismo tipo de estructura y el mismo tipo de mecanismo contráctil. Este flagelo es mucho más largo y se desplaza con ondas de tipo cuasi-sinusoidal en lugar de movimientos de tipo látigo.




